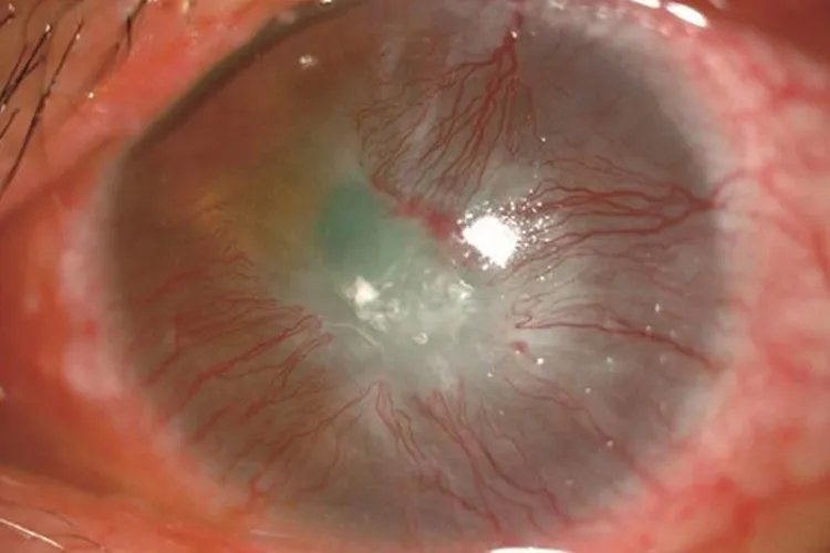
概述角膜炎主要表现为眼痛、畏光、流泪、眼睑痉挛等,可伴有不同程度的视力下降。临床上可将角膜炎分为感染性角膜炎和非感染性角膜炎。角膜炎病因较多,与外界或内源性致病因素侵袭角膜组织相关。症状感染性角膜炎细菌性角膜炎严重的细菌性角膜炎起病急骤,会出现畏光流泪、疼痛、视力障碍、眼睑痉挛等症状。眼睑及球结膜水肿,睫状或混合性充血,病变早期表现为角膜上皮溃疡,溃疡下有边界模糊、致密的浸润灶,周围组织水肿。浸润灶迅速扩大,继而形成溃疡,溃疡表面和结膜囊多有脓性或黏液脓性分泌物。可伴有不同程度的前房积脓。

真菌性角膜炎起病缓慢,亚急性经过,刺激症状较轻,伴视力障碍。角膜浸润灶呈白色或乳白色,致密,表面欠光泽呈牙膏样或苔垢样外观,溃疡周围有基质溶解形成的浅沟或抗原抗体反应形成的免疫环。有时在角膜感染灶旁可见“伪足”或卫星样浸润灶,角膜后可有斑块状沉着物。前房积脓呈灰白色,黏稠或呈糊状。

单纯疱疹病毒性角膜炎1.原发性单纯疱疹病毒感染原发感染主要表现为角膜上皮病变,常见于幼儿,常表现为全身发热、耳前淋巴结肿大、唇部或皮肤疱疹等,常有自限性。眼部受累表现为急性滤泡性结膜炎、假膜性结膜炎、眼睑皮肤疱疹、点状或树枝状角膜炎。2.复发性单纯疱疹病毒感染上皮型角膜炎感染初期角膜上皮层可见灰白色、近乎透明、稍隆起的针尖样水疱,点状或排列成行或聚集成簇,一般仅持续数小时至十余小时,因此常被忽略。感染的上皮细胞坏死崩解,出现点状角膜炎,点状病灶继而逐渐扩大融合,中央上皮脱落,形成树枝状溃疡,特点为树枝末端可见分叉和结节状膨大,周围可见水肿的边界。若病情进展则发展为地图状角膜溃疡。

神经营养性角膜病变病灶可局限于角膜上皮表面及基质浅层,也可向基质深层发展,溃疡一般圆形或椭圆形,多位于睑裂区,浸润轻微,边缘呈灰色增厚。3.基质型角膜炎免疫性基质型角膜炎角膜中央基质盘状水肿,不伴炎症细胞浸润和新生血管,后弹力层可有皱褶,伴有前葡萄膜炎时,在水肿区域角膜内皮面出现沉积物。慢性或复发性盘状角膜炎后期可发生大泡性角膜病变,炎症的反复发作可导致角膜瘢痕形成或角膜变薄、新生血管化及脂质沉积。坏死性基质型角膜炎表现为角膜基质内单个或多个黄白色坏死浸润灶、基质溶解坏死及上皮广泛性缺损,严重者可形成灰白色脓肿病灶、角膜后沉积物、虹膜睫状体炎和眼压增高等。部分患者可表现为免疫环或边缘性血管炎。角膜内皮炎盘状角膜内皮炎表现为角膜中央或旁中央角膜基质水肿,角膜失去透明性,呈现毛玻璃样外观,在水肿区的内皮面有角膜沉积物,伴有轻、中度虹膜炎。线状角膜炎表现为从角膜缘开始的内皮沉积物,伴有周边角膜基质和上皮水肿,引起小梁炎时,可导致眼压增高。棘阿米巴角膜炎多为单眼发病,患眼畏光、流泪伴视力减退,眼痛剧烈,病程可长达数月。感染初期表现为上皮混浊、微囊样水肿或假树枝状,上皮可完整,少数患者可出现特征性放射状角膜神经炎。随着病变进展,角膜出现中央或旁中央环状浸润,可伴有上皮缺损;也可表现为中央盘状病变,基质水肿增厚并有斑点或片状混浊。晚期可致基质溶解、形成脓肿、角膜溃疡甚至穿孔,但前房反应少见。

非感染性角膜炎角膜基质炎发病初期为单侧,数周至数月后常累及双眼。起病时可有眼痛、流泪、畏光等刺激症状,视力明显下降。早期可见典型的扇形或弥漫性角膜炎症浸润,可伴有或不伴有角膜后沉着物。随着病情进展角膜基质深层出现新生血管,在角膜板层间呈红色毛刷状,最终炎症扩展至角膜中央,角膜混浊、水肿。炎症消退后,水肿消失,少数患者遗留厚薄不等的瘢痕,萎缩的血管在基质内表现为灰白色纤细丝状物,称为幻影血管。

神经麻痹性角膜炎患者可无明显的自觉症状,在病变早期,暴露于睑裂部位的角膜上皮出现点状脱落,逐渐扩展成片状上皮缺损,甚至出现大片无上皮区域,继之形成溃疡。一旦继发感染,则演变为化脓性角膜溃疡,且极易穿孔。患眼反射性瞬目减少,可伴有充血、视力下降、分泌物增加等。

暴露性角膜炎初期角膜、结膜上皮干燥、粗糙,暴露部位结膜充血、肥厚,角膜上皮由点状糜烂逐渐融合成大片的缺损,新生血管形成。继发感染时则出现化脓性角膜溃疡症状及体征。

丝状角膜炎自觉症状有异物感、畏光、流泪等。瞬目时症状加重,而闭眼时症状可减轻。角膜上可见卷曲的丝状物,一端附着于角膜上皮面,另一端游离,可被推动,丝状物附着处角膜下方可出现小的灰白色上皮下混浊。

免疫性角膜炎蚕食性角膜溃疡是最典型、最有代表性的免疫性角膜炎。蚕食性角膜溃疡主要症状有剧烈眼痛、畏光、流泪及视力下降。病变初期,周边部角膜出现浅基质层浸润,常位于角膜内侧或外侧,随后浸润区出现角膜上皮缺损,继而形成溃疡。溃疡沿角膜缘呈环状发展,并向中央区浸润,浸润缘呈潜掘状,略为隆起,最终可累及全角膜。少数患者溃疡向深层发展,可引起角膜穿孔,溃疡不超过角膜缘侵犯巩膜。当溃疡向中央发展时,溃疡周边区上皮可逐渐修复,伴新生血管长入,出现周边部纤维血管膜样增殖。

病因角膜炎分类不同,病因不一,感染性角膜炎由细菌感染引起,主要病原微生物为细菌、病毒、真菌和寄生虫。一些自身免疫性疾病,如类风湿关节炎可出现角膜病变。另外邻近组织的炎症可波及角膜,引发角膜炎症等。诊断根据典型的临床表现(如眼部刺激症状)及睫状充血、角膜浸润和角膜溃疡的形态特征等,角膜炎的临床诊断通常不困难,但应详细询问病史做病因诊断。治疗角膜炎的治疗原则是控制感染,减轻炎症反应,促进溃疡愈合和减轻瘢痕形成。细菌性角膜炎宜选用敏感的抗菌药物进行治疗。抗真菌药物仍是治疗真菌性角膜炎的重要手段,目前临床上多采用联合用药的方法以提高疗效,病情严重者可配合全身用药。单纯疱疹病毒性角膜炎可使用抗疱疹病毒药物治疗。并发虹膜睫状体炎时,轻者可用短效散瞳剂如托吡卡胺眼药水滴眼,炎症严重者可用1%的阿托品眼药水或眼膏散瞳。药物治疗无效,溃疡穿孔或即将穿孔者,应采取手术治疗。
