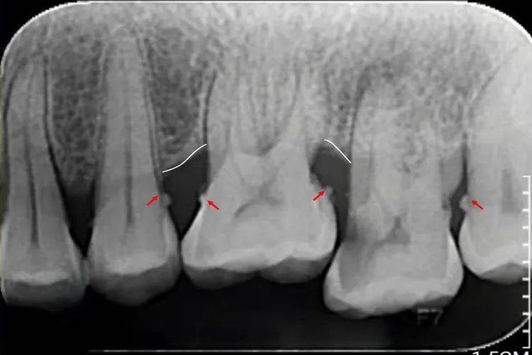
概述牙结石又称牙石,是附着在牙面上钙化的牙菌斑,外观呈白色、棕色或黑色。牙结石的形成主要受唾液成分、饮食习惯、口腔卫生习惯影响。症状牙结石初期较软,因逐渐钙化而变硬,外观呈白色、棕色或黑色,可分为龈上结石和龈下结石。龈下结石牙肉眼不可见,需用探针或X线检查可见。结石过多可刺激牙龈,导致牙龈萎缩,出现牙龈出血、牙齿松动等症状。



病因牙结石是由牙齿表面附着的食物残渣及唾液中的矿物质、坏死脱落的上皮细胞、白细胞等与黏液素以及涎蛋白和脂类混合形成的。口腔卫生习惯不良、常吃细软精细食物、摄入蔗糖过多等都是诱发牙结石的重要因素。诊断主要根据患者的临床表现,以及在口腔内见到牙结石作出诊断。龈下结石可通过探针或X线检查来进行诊断。治疗保持口腔良好的卫生,坚持刷牙漱口,可将刚开始沉积于牙面的牙垢、牙结石及时刷掉。要少吃精细食品,或吃后必须刷牙漱口。还可采用超声波治法去除牙结石,如龈上洁治法、龈下刮治疗法等。
