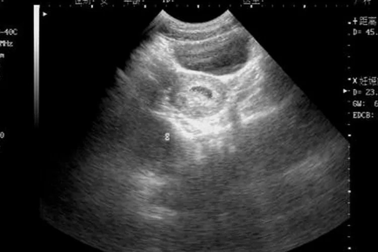
概述怀孕5周时间较短,胎儿尚未成型,宫腔内为圆形或椭圆形的妊娠囊。怀孕5周属于孕早期,此时仍处于较为危险的阶段,需注意加强自身护理。表现怀孕5周时,孕妇宫腔内存在圆形或卵圆形的妊娠囊,胎儿尚未成型,可通过B超观察到。此外孕妇还会出现停经、尿频、乳房胀痛、阴道黏膜和宫颈阴道部充血呈蓝紫色,以及畏寒、头晕、流涎、乏力嗜睡、食欲缺乏、喜食酸物、厌恶油腻、恶心、晨起呕吐等早孕反应。

注意事项怀孕初期孕妇需注意外界环境及自身的身体情况,避免对胎儿造成不利影响。远离引起感染的各种病原体、药物、铅、汞以及各种放射线、高温等。避免重体力劳动及剧烈运动,注意休息。饮食上宜清淡,呕吐严重者需注意摄入水分,可适量摄入新鲜蔬菜、水果等食物。避免饮酒及含有酒精的饮料。
