概述男性感染霉菌后的症状包括包皮与龟头可见红斑,皮损处有轻度脱屑等。男性感染霉菌最常见的部位为包皮龟头,但有时也可出现肺部的霉菌感染。症状男性感染霉菌的症状根据感染部位的不同而有所不同,常见的感染部位为包皮龟头,有时也可能会出现肺部的霉菌感染。包皮龟头霉菌感染常见于白色念珠菌性包皮龟头炎,包皮与龟头上可见红斑,表面光滑,并有小疱疹,红斑的边缘比较清楚,可有轻度脱屑,并且会缓慢向四周扩大。急性发作时可发生糜烂、渗液。

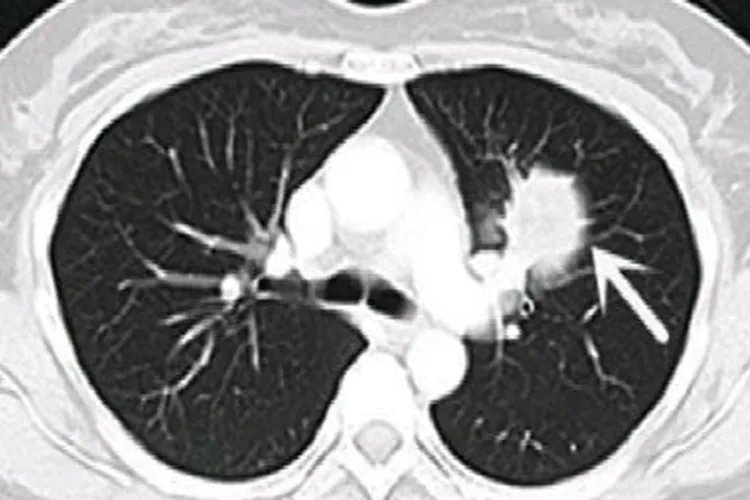
肺部霉菌感染肺部霉菌感染可无明显呼吸道症状,但可因合并细菌感染出现明显的咳嗽、咳痰、发热等表现。影像学检查可发现肺内散在分布大小不一的小结节,并晕轮的块状影、多个透明空洞。

病因男性包皮龟头霉菌感染最主要的病因是阴茎龟头部位湿润,常有细菌等大量繁殖。另外,汗液、洗涤用品、衣物等也可刺激包皮龟头出现霉菌感染。男性肺部霉菌感染多是因机体抵抗力下降、口腔卫生环境欠佳导致寄生于上呼吸道或口腔的霉菌侵入肺部繁殖,也可能是因为直接吸入含有真菌孢子的灰尘而感染。另外,若是长期大量使用抗生素、糖皮质激素也有可能导致机体内菌群失调,免疫力下降,造成霉菌感染。治疗包皮龟头霉菌感染者若有糜烂渗液,需遵医嘱用高锰酸钾或依沙吖啶溶液湿敷,干燥脱屑可外用糖皮质类固醇激素等软膏,同时也可以局部应用制霉菌素或酮康唑进行治疗。若是肺部霉菌感染,则需要遵医嘱选择两性霉素B剂、泊沙康唑等进行治疗。
