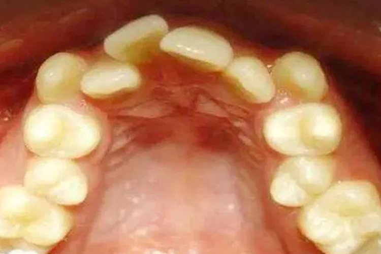
概述牙齿不整齐即牙列不齐,是错(牙合)畸形的典型表现之一,包括牙列拥挤、牙列间隙等。牙列不齐可能与遗传因素以及后天因素有关,比如疾病、口腔不良习惯等。症状牙列不齐常见类型包括牙列拥挤、牙列间隙等,具体症状有所不同。牙列拥挤表现为个别牙或多个牙在各个方向的错位,如唇(颊)舌向错位、近远中向错位、高位、低位、扭转等。牙列拥挤可能影响牙弓形态或上下颌牙弓关系,可表现为牙弓形态不规则或不对称,前牙覆(牙合)覆盖异常,后牙区拥挤并伴后牙反(牙合)、锁(牙合)。牙列间隙表现为牙和牙之间有间隙。根据牙列间隙的病因不同,伴有相应的临床表现,比如颌骨过大,牙齿数量少或形态小。


病因牙列不齐主要包括牙列拥挤、牙列间隙,具体病因如下:牙列拥挤直接原因为牙量骨量不调,即牙量相对大,而骨量相对小。牙量骨量不调与遗传因素有关,也可能与以下环境因素有关:恒牙在替换过程中出现牙齿脱落或萌出的时间顺序异常,可导致牙列拥挤;某些口腔不良习惯比如长期咬下唇,可造成下颌前牙舌倾、拥挤;某些功能因素异常,比如咀嚼功能不足,长期食用精细柔软的食物,可使颌骨发育受到影响,导致牙量骨量不调,导致牙列拥挤。牙列间隙直接原因为牙量相对小于骨量。牙量骨量不调与遗传因素和环境因素有关,环境因素包括先天因素和后天因素。先天因素:上颌侧切牙、下颌切牙、前磨牙是常见的先天缺牙的牙位,先天性缺牙会导致牙列间隙。巨舌症患者肥大的舌体,会导致牙列向唇颊侧扩展,使牙弓内出现散在间隙;后天因素:一些全身性疾病,比如肢端肥大症,会导致颌骨发育过度,形成牙列间隙;因龋病、外伤、牙周病等导致的牙齿早失、邻牙移位,也会出现牙列间隙。吮指习惯、伸舌习惯、咬唇习惯等口腔不良习惯易出现前牙唇倾及散在间隙。治疗牙列不齐根据病因不同,其治疗方法也不相同,具体如下:牙列拥挤牙列拥挤矫治的基本原则是应用各种正畸手段增加骨量或/和减少牙量,使牙量与骨量趋于协调,同时兼顾牙、颌、面三者之间的协调性、稳定性及颜面美观。增加骨量的方法包括扩展牙弓的长度与宽度,比如通过功能性矫治器刺激颌骨及牙槽骨生长,通过骨牵张成骨术等外科手段使牙槽骨生长延长,通过开大腭中缝扩展上颌骨的宽度等。减少牙量的方法包括通过拔牙减少牙的数量或通过邻面减径减小牙的近远中宽度。牙列间隙牙列间隙矫治原则是发现并去除病因,关闭间隙或集中间隙用于修复,注意保持,预防复发。如舌体过大导致的牙列间隙,必要时可考虑做舌部分切除术,否则需要永久保持;埋伏牙导致的局部间隙,需酌情行埋伏牙牵引术或拔除术。
